你以为便宜了 良心企业 NO! 如何鉴别 真假葡萄籽提取物
作者:前沿科技
发布时间: 2022-03-27 16:07:30 浏览量:2683
目前我国常见的葡萄籽提取物原料质量要求为原花青素 ≥95 %。 原料主要来自天津、深圳、江苏、陕西等地的一些生 产企业。但是因为原花青素 功效成分复杂 ,而且生产厂家众多 , 各个原料生产厂家和应用厂家所用标准不同 且原花青素最早的 标准是原花青素含量 95 % ,仅对原花青素值做限量检测 ,缺少其他质控指标 ,现已成为国际市场上中低 端产品的代名词。
由于目前葡萄籽提取物的管理较为混乱、生产 企业良莠不齐、质量标准不统一等 ,葡萄籽提取物标准 ,除了原花青素值 95 % ,单体含量 ,还应包括感官、原花青素鉴别、理化指标及卫生学指标等。其溶解性、抗氧化 性能等 。
葡萄籽原花青素一般为浅棕黄色至红褐色的 精细粉末 ,质量好坏很难从色泽上辨认 ,颜色深可考虑原花青素高聚体的含量多 ,味道一般发涩。溶解性是葡萄籽提取物的一个重要指标 ,溶解性的好坏直接影响到人体的吸收 ,溶解性主要与提取物中高聚体的含量有关 ,一般要求浓度为 1 %的水溶液中 水不溶物小于 5 %。由于 GSPE 具有显著的抗氧化 性 ,所以产品的抗氧化性能评定是其是否具有良好的重要依据。针对目前市场 价格 产品质量 做个简单的鉴别分析。
真假葡萄籽提取物原花青素测定及鉴别方法

原花青素的基本结构单元为儿茶素和表儿茶素,最简单的原花青素是儿茶素或表儿茶素或儿茶素与表儿茶素形成的二聚体,此外还有三聚体、四聚体直至十聚体。平均聚合度范围从 2 到大于 15,平均分子量从 578 到大于 5000.通常将二聚体-四聚体称为低聚体(简称 OPC),将五聚体以上的称为高聚体(简称 PPC)二聚体中又因为两个单体的构象或键合位置的不同,可有多种异构体,已分离鉴定和命名的就有 8 种,二聚体因分布最广,研究最多,是最重要的一类原花青素。
因原花青素结构复杂且标准品很难得到,目前还没有一种方法可以准确的鉴定和测定每一组分的具体含量。一般采用 HPLC 或 HPLC-MS 或 NMR 来测定原花青素中的单体或低聚体;采用凝胶渗
透色谱测定原花青素的聚合度和分子量;采用 HPLC 或 TLC 来鉴定葡萄籽提取物。
葡萄籽提取物的典型特征
一,葡萄籽提取物 HPLC 图谱

由上图所示,葡萄籽提取物中,没食子酸、儿茶素和表儿茶素的峰是非常明显的,其主要含量由这几个成分组成。图谱中峰型体现了葡萄籽提取物中成分的主要特征。
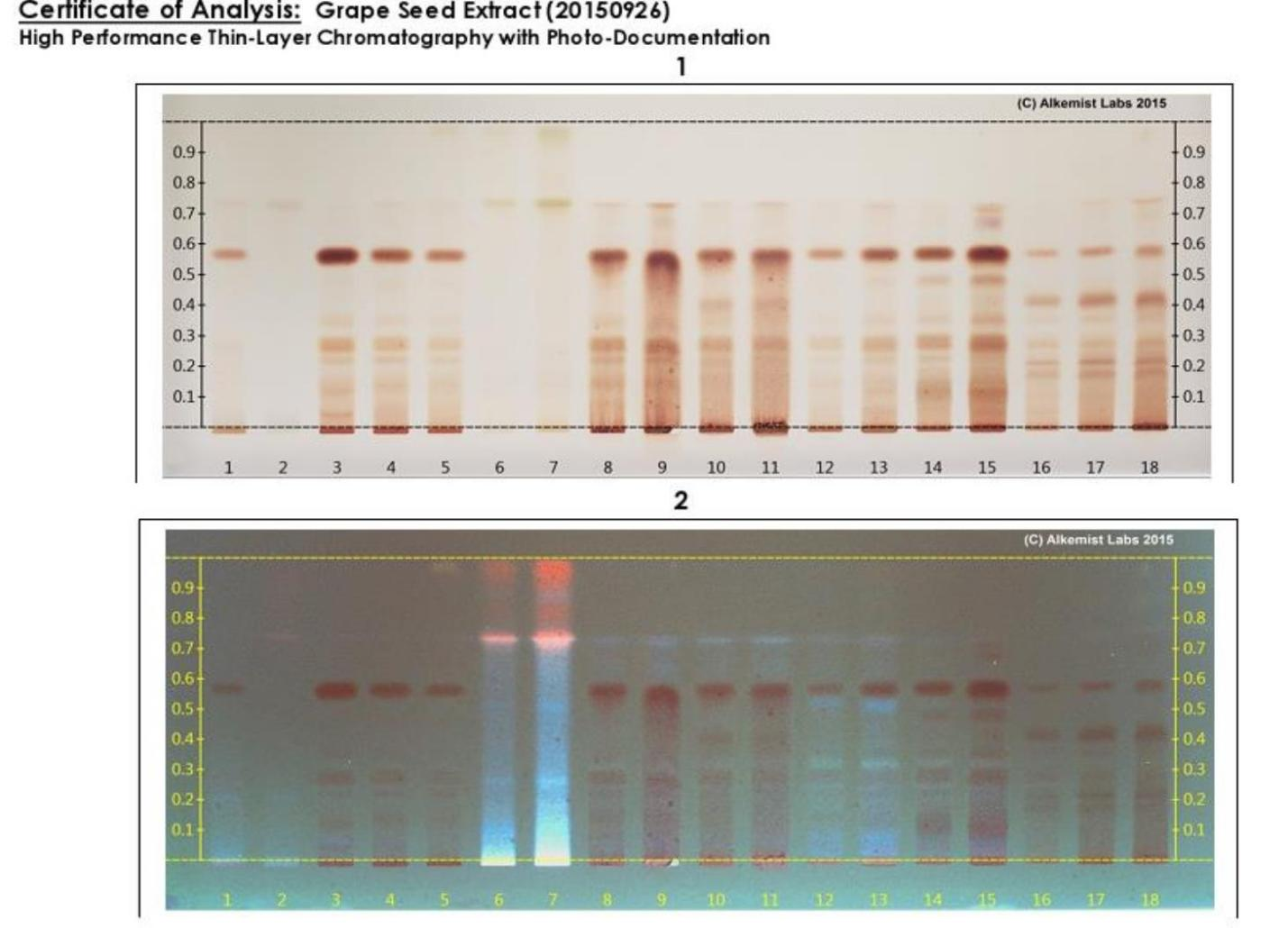
二,葡萄籽提取物指纹图谱(样品 8 和 9 是葡萄籽提取物)

如上图所示,样品 8 和样品 9 是葡萄籽提取物的 HP-TLC 图谱。标样 3、4、5 是葡萄籽原料。有图可见,样品 8、9 与葡萄籽原料的指纹图谱基本一致。
真假葡萄籽提取物的辨别和对比
一,HPLC 图谱对比
葡萄籽提取物图谱

花生衣提取物图谱

解释:由上图可示特征峰 1-4 风别为:没食子酸、儿茶素、表儿茶素和表儿茶素没食子酸,还有原花青素 B2。 从这几个峰的比较可以看出:在花生衣提取物中,没有没食子酸、表儿茶素没食子酸和原花青素 B2,或者含量微乎其微,而在葡萄籽提取物中是明显存在的。同时,儿茶素和表儿茶素的峰面积在葡萄籽提取物中比花生衣提取物中要大一些(相对于都是原花青素 95%含量)。特别是原花青素 B2 的是否存在起主要鉴别作用。由以上的 HPLC 图谱分析可以分辨出是否是葡萄籽提取物或者葡萄籽提取物中是否添加花生衣提取物。
二,HP-TLC 鉴别比较
如上图所示:

样品 8 和 9 是葡萄籽提取物
样品 3、4 和 5 是葡萄籽原料(标准样)
样品 16,17,18 是花生衣提取物
样品 10,11 是花生衣和葡萄籽的混合物
从图中所示,样品 8 和 9 的图像与样品 3、4 和 5 基本吻合,由此可以判断 8 和 9 是葡萄籽提取物的标准 HP-TLC 图像。
简易辨别真伪葡萄籽提取物的方法可以从右坐标 0.4 的位置的斑点分析:在右坐标 0.4 的位置的斑点上,样品 8 和 9 在其位置是没有斑点的,而样品 16、17 和 18 在其位置
斑点很明显。样品 10 和 11 是混合物,因此该位置斑点位置还是可见。由此也可以鉴别出葡萄籽提取物的真伪。
【温馨提示:本公司严格遵守《中华人民共和国广告法》的相关规定,已竭力避免使用任何违规词汇。如果公司网页中仍然出现任何争议词汇,本公司声明该等声称自始无效。如有任何争议问题欢迎联系本公司进行修改,感谢您的配合与支持!】



